기흉은 흔히 폐가 무너지는 질환으로 갑작스럽고 심각할 수 있는 의학적 질환입니다. 기흉의 초기 증상, 원인, 사용 가능한 치료 옵션을 이해하는 것은 위험에 처한 모든 사람에게 매우 중요합니다. 가슴이 쑤신다면 기흉이 무엇인지, 어떻게 발생하는지, 어떻게 대처할 수 있는지 등 기흉에 대한 자세히 살펴봅아야 합니다

가슴이 콕콕 쑤신다면 기흉 초기 증상, 원인 및 치료방법
기흉이란 무엇인가요?
기흉은 폐와 흉벽 사이의 공간에 공기가 들어가서 폐가 부분적으로 또는 완전히 무너지는 질환입니다. 기흉은 호흡 곤란으로 이어질 수 있으며 즉각적인 치료가 필요합니다.
기흉의 유형
기흉에는 세 가지 주요 유형이 있습니다:
자연 기흉: 뚜렷한 원인 없이 발생하며 키가 크고 마른 사람에게 주로 발생합니다.
외상성 기흉: 교통사고나 갈비뼈 골절과 같은 흉부 부상이나 외상으로 인해 발생합니다.
긴장성 기흉: 갇힌 공기가 영향을 받은 폐와 심장에 압력을 증가시켜 생명을 위협하는 상태입니다.
초기 증상
기흉의 초기 징후를 인식하는 것은 조기 개입을 위해 매우 중요합니다. 몇 가지 일반적인 증상은 다음과 같습니다:
갑작스러운 흉통: 가슴 한쪽에 날카롭고 찌르는 듯한 통증이 있습니다.
호흡곤란: 호흡 곤란, 특히 신체 활동 중 호흡 곤란.
빠른 심박수: 신체가 충분한 산소를 공급받기 위해 고군분투하면서 심박수가 증가합니다.
청색증: 산소 부족으로 인해 입술과 손끝이 푸르스름한 색조를 띠는 증상입니다
기흉의 원인
기흉을 유발할 수 있는 원인을 이해하는 것은 예방을 위해 필수적입니다. 원인은 다음과 같습니다:
폐 질환: 만성 폐쇄성 폐질환이나 천식과 같은 질환은 폐 조직을 약화시킬 수 있습니다.
부상: 낙상이나 갈비뼈 골절과 같은 흉부 외상.
의료 시술: 폐 생검 또는 기계적 인공호흡과 같은 침습적 시술.
기흉 진단
신속한 진단이 중요합니다. 의사는 기흉을 확인하기 위해 다음과 같은 다양한 방법을 사용합니다:
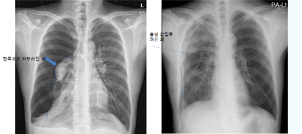
흉부 엑스레이: 흉강 내 공기를 감지하는 가장 일반적인 방법입니다.
CT 스캔: 기흉의 정도를 평가할 수 있는 상세한 이미지를 제공합니다.
초음파: 응급 상황에서 신속한 평가에 유용합니다.
치료 옵션
치료 선택은 상태의 심각도에 따라 다릅니다:
관찰 : 작고 안정적인 기흉의 경우 의사가 경과를 관찰할 수 있습니다.
바늘 흡인: 바늘을 사용하여 과도한 공기를 제거합니다.
흉관 삽입: 더 심한 경우에는 흉관을 삽입하여 흉강 내 공기를 빼냅니다.
예방 조치
모든 기흉을 예방할 수 있는 것은 아니지만, 몇 가지 조치를 통해 위험을 줄일 수 있습니다:
금연: 흡연은 폐 질환의 위험을 높입니다.
안전 조치: 부상을 방지하기 위해 안전벨트, 헬멧 및 보호 장비를 착용하세요.
폐 시술 피하기: 가능하면 비침습적 시술을 선택합니다.
기흉과 함께 생활하기
기흉을 경험한 사람에게는 새로운 일상에 적응하는 것이 필요합니다:
생활 습관 변화: 신체 활동을 조정하고 고위험 상황을 피합니다.
정기 검진: 의료진과 함께 폐 건강 모니터링하기.
회복 및 재활
기흉에서 회복하려면 다음과 같은 과정이 필요할 수 있습니다:
물리 치료 : 폐의 힘과 기능 회복.
호흡 운동 : 폐활량을 개선하는 기술.
주의해야 할 합병증
합병증은 드물지만 발생할 수 있습니다:
재발: 기흉이 다시 발생할 수 있으므로 지속적인 모니터링이 필요합니다.
감염: 흉강 감염은 잠재적인 위험입니다.
의사의 도움을 받아야 할 때
언제 행동해야 하는지 아는 것이 중요합니다:
즉각적인 도움: 심한 흉통과 호흡 곤란이 발생하면 응급 치료를 받으십시오.
예약된 예약: 위험 요인이 있는 경우 정기 검진을 받습니다.
어린이 기흉
어린이도 기흉을 경험할 수 있습니다:
어린이 기흉의 원인: 소아 사례의 구체적인 원인과 위험 요인 파악.
치료 접근법: 기흉이 있는 어린이를 관리하는 방법.
마무리
기흉은 주의와 인식이 필요한 질환입니다. 증상을 조기에 인식하고 원인을 이해하며 사용 가능한 치료법을 알면 예후에 큰 차이를 만들 수 있습니다. 본인 또는 지인이 기흉에 직면한 경우, 성공적인 회복을 위해서는 신속한 의료 개입이 중요하다는 점을 기억하세요.
자주 묻는 질문
기흉은 흔한 질환인가요?
기흉은 비교적 드물지만 폐 질환이나 흉부 외상 병력과 같은 특정 위험 요인이 있는 개인에게 발생할 수 있습니다.
기흉은 치료 없이 저절로 해결될 수 있나요?
경우에 따라 작은 기흉은 의학적 개입 없이 저절로 해결될 수 있지만, 더 크거나 긴장성 기흉은 즉각적인 치료가 필요합니다.
기흉이 장기적으로 어떤 영향을 미치나요?
적절한 치료와 관리를 받으면 대부분의 사람들은 기흉에서 장기적인 영향 없이 완전히 회복됩니다. 그러나 기흉이 재발할 수 있습니다.
기흉을 완전히 예방할 수 있나요?
기흉을 완전히 예방할 수는 없지만, 흡연을 피하고 안전 수칙을 실천하는 등 위험 요인을 줄이면 기흉 발생 가능성을 낮추는 데 도움이 될 수 있습니다.
기흉은 특정 연령대에서 더 흔한가요?
기흉은 모든 연령대에 영향을 미칠 수 있지만, 기저 폐 질환이 있는 젊은 성인과 노인에게 더 흔하게 나타납니다.
'health' 카테고리의 다른 글
| # GLP-1 계열 비교 (오젬픽 vs 위고비) 다이어트부터 당뇨까지, 당신에게 맞는 주사는? (0) | 2025.04.23 |
|---|---|
| # 빠니보틀 위고비 정말 괜찮을까? (0) | 2025.04.23 |
| 여드름 바이독시정 효과, 복용량, 부작용 및 주의사항 (0) | 2023.09.03 |
| 통풍의 원인과 증상 알아보고 치료하기 이제 맥주 못먹어 (0) | 2023.08.30 |
| 생리통이 심할때 완화하는 방법 자기야 미안해 (0) | 2023.08.30 |